8月16日,吉大一院心臟外科TAVR手術團隊為一名開胸瓣膜置換術后復發并伴有心力衰竭患者實施微創介入“瓣中瓣”手術,在此前置換的失功生物瓣膜內部成功植入新瓣膜,為患者再造“心門”。該手術為吉林省首例經導管主動脈瓣“瓣中瓣”置換術,填補了吉林省該領域治療空白。

手術團隊
患者為59歲男性,曾于5年前開胸行主動脈瓣生物瓣膜置換術。半年前出現乏力癥狀,近兩周乏力癥狀加重并伴有胸悶、胸痛、呼吸困難等,嚴重影響日常生活?;颊咻氜D來到吉大一院心臟外科就診,行心臟彩超等相關檢查,發現此前植入的主動脈瓣生物瓣毀損,導致主動脈瓣再次出現中度狹窄兼關閉不全,繼而誘發肺動脈壓力增高、左房左室增大、右心功能減低,患者心功能EF值僅36%,出現心衰癥狀。經心臟外科專家會診,患者主動脈瓣病變嚴重并伴有心衰,如果不盡快手術治療,嚴重影響生活質量并隨時有猝死風險?;颊呱硇蜗?,體重不足60公斤,心臟周圍組織嚴重粘連,再次實行外科開胸手術存在操作復雜、手術時間長、創傷大、出血多等問題。遂決定采取經導管主動脈瓣“瓣中瓣”置換術,此術式可不拆除原有的人工生物瓣,無需心臟停跳手術,免除再次開胸。

高永生教授主刀術中
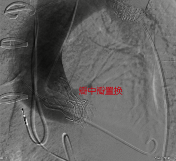
8月9日,心臟外科主任馬大實統籌,教授高永生主刀,醫生楊立明、劉宇帥輔助,在麻醉科、第二手術室、超聲診斷中心—心臟超聲科等科室的密切配合下,為患者實施經導管主動脈瓣“瓣中瓣”置換術?;颊咝g后主動脈瓣貼合良好,無返流、無瓣周漏,憋悶胸痛癥狀明顯改善,心功能逐漸恢復正常,術后第4日順利康復出院。

對于心臟瓣膜病患者而言,生物瓣膜置換是提高術后生存質量的最佳選擇。然而由于生物瓣膜存在耐久性問題,該類患者往往需再次外科開胸進行瓣膜置換手術。傳統開胸手術需要拆除原來的人工生物瓣膜,換上新的瓣膜。手術操作復雜,患者組織粘連嚴重、出血多,手術耗時長。經導管瓣中瓣置換是一種新型替代治療方案。該技術的開展,可使患者免除再次開胸的風險和痛苦,且手術創傷小、恢復快、安全性高,為高齡、高?;颊咛峁┝烁玫倪x擇。

